
Radhakrishnan Ramchandren MD, highlights the recent US Food and Drug Administration’s (FDA) approval and advantages of ADCETRIS (brentuximab vedotin) in combination with chemotherapy for advanced stage, classic Hodgkin lymphoma.

Radhakrishnan Ramchandren MD, highlights the recent US Food and Drug Administration’s (FDA) approval and advantages of ADCETRIS (brentuximab vedotin) in combination with chemotherapy for advanced stage, classic Hodgkin lymphoma.

The phase 3 iNNOVATE trial finds ibrutinib in combination with rituximab to be safe and effective in relapsed/refractory and treatment-näive patients with Waldenström’s macroglobulinemia.

Researchers present promising phase 2 data regarding tazemetostat for malignant mesothelioma, the first reported clinical data of an EZH2 inhibitor in these patients.

Manuel Litchman, MD, President and CEO of Mustang Bio Inc, highlights the advantages of using CAR-T therapies as treatments for rare cancers.

E. Anders Kolb, MD, Director of Nemours Center for Cancer and Blood Disorders at Nemours/Alfred I. duPont Hospital for Children, explains the importance of teaching resiliency as an educational tool and addressing the psychosocial burdens placed on patients in pediatric oncology.

Researchers release updated data from the phase 3 ALEX trial comparing alectinib with crizotinib as first-line treatment against ALK-positive non-small cell lung cancer.

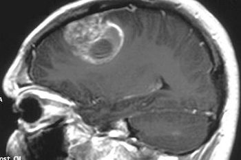
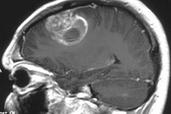
Manmeet Ahluwalia, MD, Head of Operations in the Brain Tumor Center at Cleveland Clinic, explains what a team approach should look like when treating brain tumors and other rare cancers.

Researchers find that the use of PET scans at baseline and after induction therapy can help them tailor chemotherapy regimens in esophageal cancer patients, increasing survival.

Owen A. O’Connor, MD, PhD, Director of Center for Lymphoid Malignancies at Columbia University, emphasizes the importance of sharing experiences among physicians and researchers in the rare diseases like peripheral T-cell lymphomas.

Manmeet Ahluwalia, MD, Head of Operations in the Brain Tumor Center at Cleveland Clinic, discusses the importance of team approaches when treating brain tumors and other rare cancers.

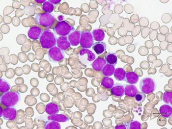
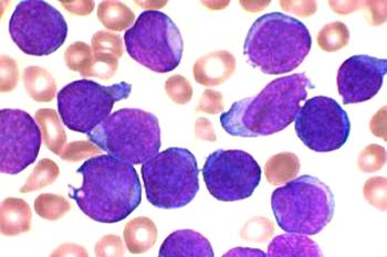
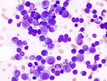
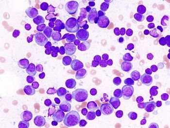
Researchers report positive results for phase 1 trial of ivosidenib in patients with IDH1+ acute myeloid leukemia.

Results of a recent study demonstrate that treatment at a specialized cancer center is associated with better leukemia-specific survival in children, adolescents, and young adults.

A new phase 3 clinical trial boasts highest survival rates of these T-cell malignancies.

First-in-man phase 1 trial meets its primary endpoints by demonstrating safety and immunogenicity of a mutation-specific IDH1R132H peptide vaccine.

To date, OPTIMISMM is the only phase 3 study in early RRMM to report a significantly and clinically meaningful PFS improvement in LEN-exposed patients.

Prospective genomics can inform subsequent clinical trial analysis aiming at matching outcome with tumor genotyping.

The single-use triple-therapy device has proven significantly more easily managed by patients in a crossover study.

Findings should prompt future investigations into care disparities at skilled-care facilities to mediate higher mortality rates observed among senior survivors of critical illness.

When inhaled, cinnamaldehyde can disrupt the lung's anti-bacterial defense system, exposing users to respiratory infection.

Of the 246 patients who underwent lung resections, 203 patients had a FEV1 less than 0.8.

Increasing particulate matter and ozone rates, even in lower-pollution regions, is putting the elderly at risk of acute respiratory distress syndrome.

The longtime therapy Symbicort was tested for safety and efficacy versus SABA in 8000-plus patients on an as-needed treatment basis.

Miners who have worked 10 or more years are at greater risk for developing black lung disease and progressive massive fibrosis.

Under Medicaid expansion, declines in ICU admission may mean that increased access to insurance has led to improvements in clinical outcomes.

The administration of the treatment to asthma patients is fairly common, despite guidelines advocating against it under certain circumstances.

Smokers who quit had lower disease risk than the group identified as stable, low-rate smokers.

Sanofi and Regeneron reported promising results from a pair of pivotal phase 3 trials for the investigative add-on therapy.

At NORD’s 2018 Rare Impact Awards, Rare Disease Report® sat down with Estelle Benson, founder of GBS|CIDP Foundation International, to discuss what the organization is doing to fight GBS.

From food deserts to hazardous jobs that inhibit exposure and limit the means to prevent it, people of low SES are at greatest environmental health risk.

Researchers intend to follow observed infants into early childhood to gauge the vitamin's influence on pediatric asthma rates.